
Tehnică europeană de protezare a genunchiului
March 10, 2026
Afecțiunile ortopedice și traumatice, discutate de Directorul SCTO Serghei Ștepa
March 12, 2026O nouă șansă la mobilitate

Intervenții chirurgicale cu proteze de genunchi unicompartimentale de ultimă generație
După opt ani de dureri severe la genunchi, Ana Biriucov de 56 de ani din raionul Hâncești a primit o nouă șansă la mobilitate, în urma unei intervenții chirurgicale realizate la Spitalul Clinic de Traumatologie și Ortopedie.
Ana Biriucov a fost operată la genunchiul stâng pe data de 6 martie. Pacienta spune că, în ultimii ani, durerile au devenit tot mai puternice, afectându-i serios activitățile zilnice.
„M-am adresat de mai multe ori la medici și am urmat diverse tratamente, însă durerea devenea tot mai insuportabilă. În ultima perioadă nu mai puteam nici să lucrez, nici să stau sau să dorm – durerile erau tot mai pronunțate”, povestește pacienta.
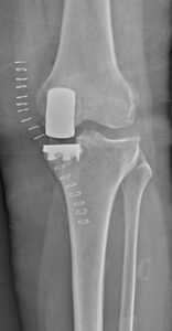
În urma investigațiilor, medicii au stabilit diagnosticul de gonartroză de gradul III–IV, o afecțiune caracterizată prin uzura avansată a cartilajului genunchiului și îngustarea pronunțată a spațiului articular.
Intervenția chirurgicală a fost efectuată de echipa Secției Ortopedie Protetică a Articulațiilor Mari, condusă de șeful secției, Alexandru Bețișor. Potrivit medicului, pacienta a beneficiat de protezare parțială unicompartimentală a genunchiului, o procedură minim invazivă prin care este înlocuită doar partea articulației afectată de artroză. Tehnica permite păstrarea cartilajului sănătos și a ligamentelor încrucișate, ceea ce contribuie la menținerea unei mobilități mai naturale a genunchiului și la o recuperare mai rapidă.
Pacienta spune că a început să meargă chiar din a doua zi după intervenție.
„Mai am dureri, dar nu mai sunt la fel de ascuțite ca înainte. Îi mulțumesc mult domnului doctor Alexandru Bețișor și întregului personal medical pentru grija și profesionalismul de care au dat dovadă. Asistentele medicale sunt foarte atente și profesioniste – pot spune că este un personal de nota 10. Sunt foarte mulțumită”, afirmă femeia.
Medicii ortopezi-traumatologi recomandă persoanelor care se confruntă cu dureri persistente de genunchi să se adreseze din timp unui specialist, pentru stabilirea diagnosticului și inițierea unui tratament adecvat.
Spitalul Clinic de Traumatologie și Ortopedie dispune de echipamente moderne și de specialiști cu înaltă calificare, oferind pacienților investigații și tratamente ortopedice de ultimă generație.





